Apel za pomoć

Trinaestogodišnjoj Nejli potrebno 50.000 KM za dvije teške operacije, karcinom izazvao skoliozu kičme

Hronika14.12.19, 12:55h

Trinaestogodišnjoj Nejli potrebno 50.000 KM za dvije teške operacije, karcinom izazvao skoliozu kičme
Telefonski broj 17006 biće u funkciji za pomoć Nejli do kraja mjeseca - broj je jedinstven za sve operatere, a pozivom se doniraju 2 KM

 

 


Udruženje Pomozi.ba pokrenulo je apel za pomoć djevojčici Nejli Dudo kako bi se što prije prikupilo 50.000 KM, koliko joj je neophodno za dvije operacije. 


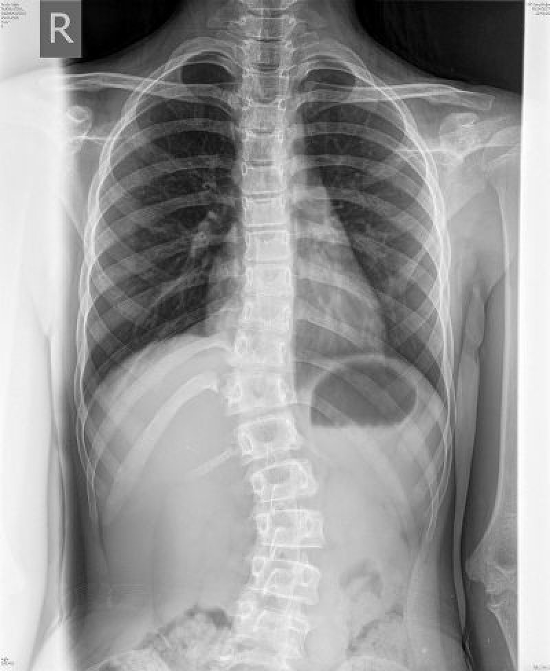
Nejla ima 13 godina, a na KBC Rebro u Zagrebu dijagnosticiran joj je karcinom koji je prouzrokovao skoliozu kičme. Djevojčicu u narednom periodu očekuju dvije teške operacije. Operativni zahvati i ostali troškovi liječenja iznose oko 50.000 KM, zbog čega joj je potrebna naša pomoć kako bi se skupio toliki novac.

 

nejla-dudo2


Telefonski broj 17006 biće u funkciji za pomoć Nejli do kraja mjeseca - broj je jedinstven za sve operatere, a pozivom se doniraju 2 KM.


Pored poziva na broj 17006 pomoći se može i donacijom na račune Udruženja Pomozi.ba sa naznakom “Za Nejlu“.


PayPal: 
[email protected]


Za novčane uplate iz BiH:
Intesa Sanpaolo Bank BiH
154-180-20085330-48


Za novčane uplate iz inostranstva:
Banks name: Intesa Sanpaolo Banka BiH
SWIFT CODE: UPBKBA22
IBAN: BA39 1541802008533048
Primalac: Udruženje "Pomozi.ba", dr. Fetaha Bećirbegovića br. 8, 71000 Sarajevo
Svrha: Za Nejlu


Za novčane uplate na račun naše organizacije u Austriji:
Name: hilfhelfen-pomozi.ba
Verwendungszweck: Za Nejlu
ERSTE BANK
IBAN: AT64 2011182266475400
BIC: GIBAATWWXXX
Wien, Oestereich

 

(DEPO PORTAL/BLIN MAGAZIN/ad)

 

 


Depo.ba pratite putem društvenih mreža Twitter i Facebook



Komentari - Ukupno 0

NAPOMENA - Portal Depo.ba zadržava pravo da obriše neprimjereni dio ili cijeli komentar bez najave i objašnjenja. Mišljenja iznešena u komentarima nisu stavovi redakcije web portala Depo.ba!